Skip to main content

Eμφυτεύματα δοντιών

Φυσική ΑποτελεσματικήΑνώδυνη Μόνιμη Λύση για Ολοκληρωμένο Χαμόγελο σε 24 Ώρες

Τι είναι τα εμφυτεύματα δοντιών;

Τα εμφυτεύματα δοντιών προσφέρουν μια φυσική, αποτελεσματική, ανώδυνη και μόνιμη λύση για την αντικατάσταση δοντιών που χάθηκαν λόγω τραύματος, τερηδόνας, ασθένειας ή γήρατος. Η αντικατάσταση των δοντιών που λείπουν βελτιώνει τη στοματική υγεία καθώς και τη λειτουργικότητα των δοντιών, βελτιώνει το χαμόγελο και ενισχύει την αυτοεκτίμηση.

Ένα εμφύτευμα δοντιού είναι μια μικρή βιδωτή ρίζα τιτανίου, η οποία τοποθετείται στην υποδοχή των δοντιών που λείπουν και μοιάζει και λειτουργεί σαν τα αληθινά, και μπορεί να χρησιμοποιηθεί για την αντικατάσταση ενός μόνο δοντιού, πολλών δοντιών ή ολόκληρου του οδοντικού τόξου.

Oralis Dental Center

Αποκτήστε Ένα Λαμπερό Χαμόγελο

Ολοκληρωμένο Χαμόγελο σε 24 Ώρες με τα Εμφυτεύματα Δοντιών, Χωρίς Καθυστερήσεις & Χωρίς Χρόνο Αναμονής

Η κλινική μας Oralis Dental Center Θεσσαλονίκη είναι πιστοποιημένη ως Nobel BioCare Center of Excellence υπό την επιστημονική διεύθυνση του Γναθοχειρουργού Dr. Κωνσταντίνου Ψωμαδέρη & του Περιοδοντολόγου – Εμφυτευματολόγου Dr. Κουκουδέτσου Σταύρου παρέχουν ένα πλήρες σύνολο θεραπειών εμφυτευμάτων δοντιών, συμπεριλαμβανομένων των εξής:

  • Ζυγωματικά/CustomΕμφυτεύματα Δοντιών.
  • Άμεση ΦόρτισηΕμφυτευμάτων (Δόντια σε 24 Ώρες).
  • All-on-X®.
  • All-on-4®.
  • Allon-6®.
  • Αφαίρεση Εμφυτευμάτων.

Οι ασθενείς μας αποφεύγουν τη μακρά αναμονή και τις πολλαπλές επισκέψεις. Είμαστε εξοπλισμένοι με τεχνολογία αιχμής και μια ομάδα ειδικών ιατρών, προσφέρουμε μια ταχύτερη, πιο αποτελεσματική εναλλακτική λύση στις συμβατικές διαδικασίες.

Τα δόντια που λείπουν μπορούν να αντικατασταθούν άμεσα, με εμφυτεύματα που τοποθετούνται απευθείας στο διαθέσιμο οστό. Η χρήση εξειδικευμένων εμφυτευμάτων (γωνιακά, στενά, κοντά, ανεστραμμένος κώνος) συχνά εξαλείφει την ανάγκη για οστική αναγέννηση.

Δείτε Περισσότερα

19

Χρόνια Εμπειρίας

14000

Διαδικασίες Τοποθέτησης

2500

"Δόντια Σε 1 Μέρα"

98

Επιτυχία

Ζυγωματικά/Custom Εμφυτεύματα Δοντιών για Ασθενείς που Δεν Μπορούν να Λάβουν Κανονικά Εμφυτεύματα (Εκτελείται μόνο από Ειδικό Γναθοχειρουργό)

Η τεχνική αυτή δεν εκτελείται από οδοντίατρους. Εκτελείται μόνο από ειδικό Γναθοχειρουργό σε εξειδικευμένα κέντρα. Όταν ένας έμπειρος και εξειδικευμένος Γναθοχειρουργός χρησιμοποιεί ζυγωματικά/custom εμφυτεύματα δοντιών, θα επωφεληθείτε από το να έχετε σταθερά δόντια σε μόλις 1 ημέρα, τα οποία είναι πλήρως λειτουργικά και αισθητικά, και παρόμοια σε εμφάνιση με τα αρχικά σας δόντια. Εκτός από την παροχή καλύτερης μακροπρόθεσμης πρόγνωσης, αυτή η διαδικασία είναι λιγότερο επεμβατική και είναι ειδικά σχεδιασμένη για να προσαρμόζεται στα προσωπικά σας ανατομικά χαρακτηριστικά.

Τα ζυγωματικά/custom εμφυτεύματα δοντιών της Nobel BioCare έχουν τα εξής πλεονεκτήματα:

  • Άμεση φόρτιση:Αποκτήστε σταθερά δόντια σε μόλις μία ημέρα.
  • Ελάχιστα επεμβατική διαδικασία:Μειωμένος χρόνος αποθεραπείας και λιγότερες επιπλοκές.
  • Υψηλή αισθητική:Δόντια που μοιάζουν με τα φυσικά σας.
  • Μόνιμη λύση:Εμφυτεύματα σχεδιασμένα για να διαρκούν.
  • Προσαρμογή στην ανατομία σας:Εξατομικευμένη θεραπεία για βέλτιστα αποτελέσματα.
Δείτε Περισσότερα

Πλεονεκτήματα της Άμεσης Φόρτισης Εμφυτευμάτων (Δόντια σε 24 Ώρες)

  • Οικονομική Αποδοτικότητα:Η τεχνική τοποθέτησης εμφυτευμάτων δοντιών την ίδια ημέρα δεν είναι πιο ακριβή σε σύγκριση με τις παραδοσιακές μεθόδους.
  • Άμεσα Αποτελέσματα:Σας τοποθετούμε τα εμφυτεύματα δοντιών και τα σταθερά νέα δόντια σας σε μία ημέρα (σε 24 ώρες). Αυτό εξαλείφει τις πολλαπλές οδοντιατρικές επισκέψεις.
  • Φυσική Εμφάνιση:Τα εμφυτεύματα δοντιών και οι στεφάνες είναι σχεδιασμένα, ώστε να έχουν φυσική εμφάνιση. Επομένως, είναι δύσκολο να τα διακρίνετε από τα φυσικά δόντια.
  • Μόνιμο Αποτέλεσμα-Διάρκεια:Τα εμφυτεύματα δοντιών είναι εξαιρετικά ανθεκτικά και μπορούν δυνητικά να διαρκέσουν για δεκαετίες με σωστή φροντίδα και συντήρηση.
  • Βελτιωμένη Μάσηση:Τα εμφυτεύματα δοντιών αποκαθιστούν τη φυσική δύναμη δαγκώματος για καλύτερη απόλαυση του φαγητού.
  • Πρόληψη Απώλειας Οστού:Τα εμφυτεύματα δοντιών διεγείρουν την ανάπτυξη του οστού της γνάθου, αποτρέποντας την οστική φθορά.
  • Ελάχιστα Επεμβατική Μέθοδος:Το έμπειρο και εξειδικευμένο ιατρικό προσωπικό μας χρησιμοποιεί ελάχιστα επεμβατικές χειρουργικές τεχνικές.
  • Ενίσχυση της Αυτοπεποίθησης:Ένα ολοκληρωμένο και λαμπερό χαμόγελο μπορεί να ενισχύσει σημαντικά την αυτοεκτίμησή σας.
Δείτε Περισσότερα

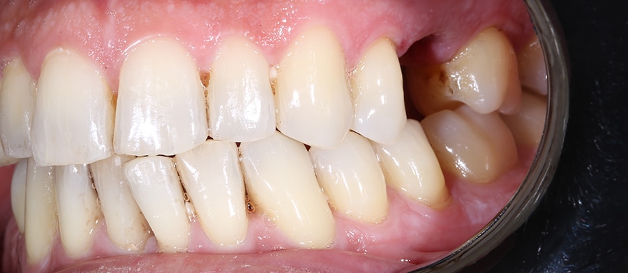
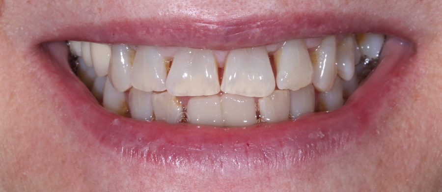
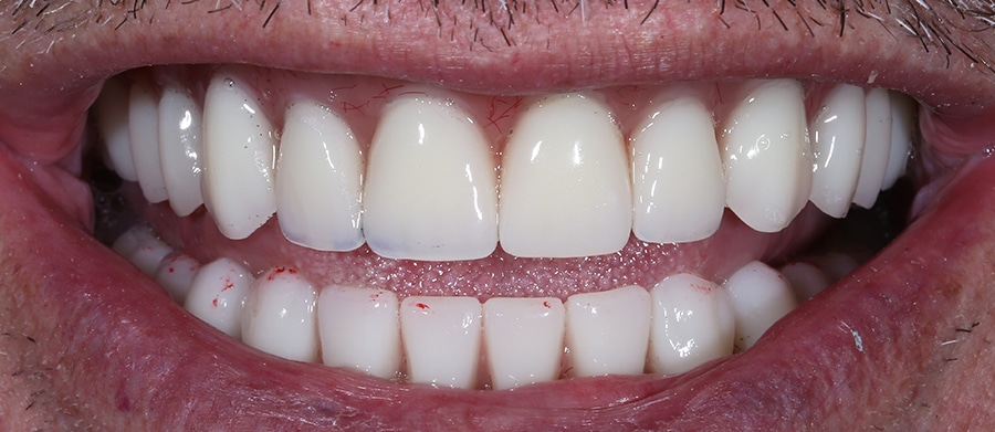
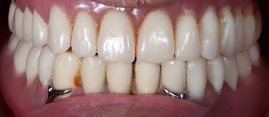
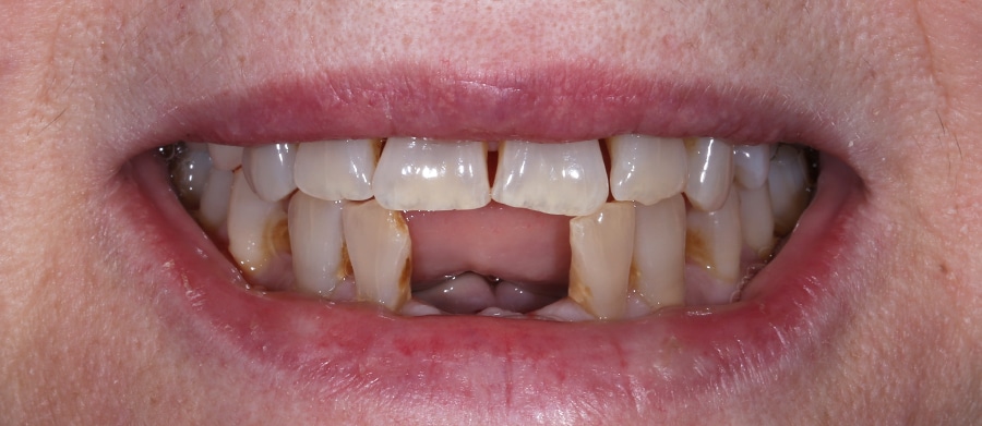
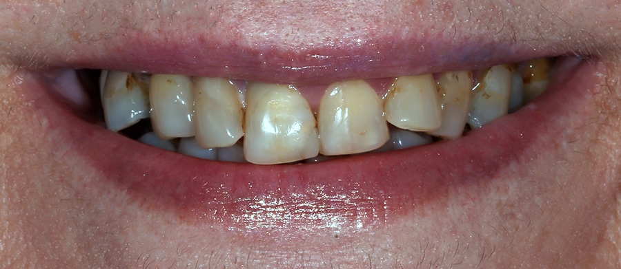
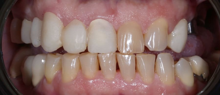
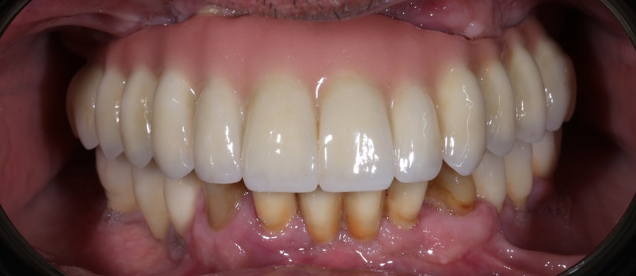
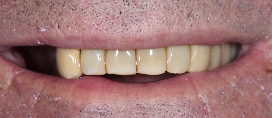
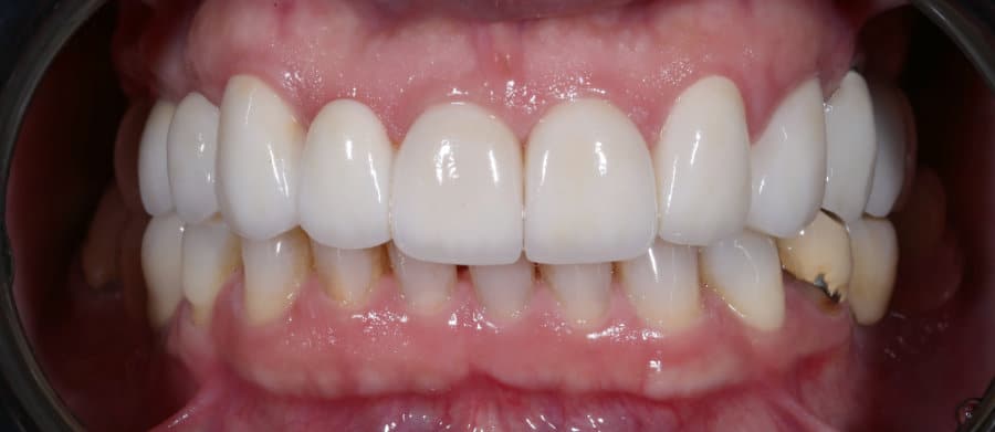
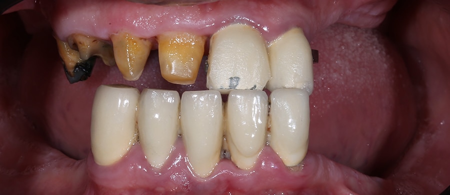
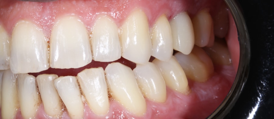
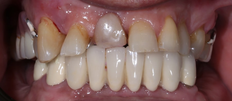
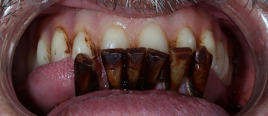
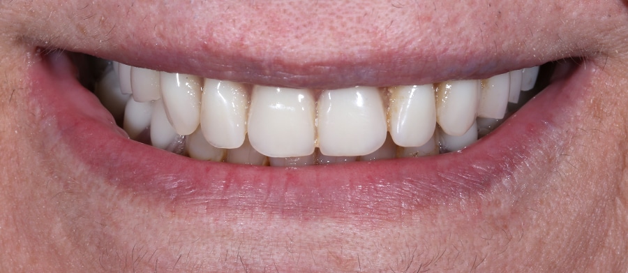
Ενδεικτικά Πριν και Μετά

Δείτε Όλα Τα Πριν & Μετά

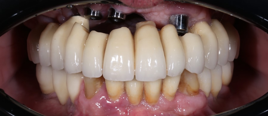
Ολική Αποκατάσταση Γνάθου σε 24 Ώρες με τις Μεθόδους All-on-X®, All-on-4® & All-on-6®

Οι θεραπευτικές μέθοδοι All-on-X®, All-on-4® & All-on-6® έχουν τα εξής πλεονεκτήματα:

  • Αποκατάσταση Χαμόγελου την Ίδια Ημέρα: Θα αποκτήσετε μια σταθερή και πλήρη οδοντοστοιχία την ίδια ημέρα με την τοποθέτηση των εμφυτευμάτων δοντιών σας, αποφεύγοντας την ανάγκη για προσωρινές αφαιρούμενες οδοντοστοιχίες.
  • Υψηλό Ποσοστό Επιτυχίας: Με την κατάλληλη χειρουργική τεχνική και τον ακριβή σχεδιασμό των εμφυτευμάτων, οι μέθοδοι All-on-X®, All-on-4® & All-on-6® διαθέτουν υψηλό ποσοστό επιτυχίας άνω του 98%.
  • Οικονομικά Αποδοτικές Λύσεις: Με τη στρατηγική χρήση λιγότερων εμφυτευμάτων, οι μέθοδοι All-on-X®, All-on-4® & All-on-6® μπορούν να προσφέρουν μια πιο οικονομικά αποδοτική και αποτελεσματική λύση για τους ασθενείς.
  • Ελάχιστα Επεμβατικές Θεραπείες: Αυτές οι θεραπευτικές μέθοδοι διατηρούν περισσότεροαπό το φυσικό σας οστό και ιστό (ελαχιστοποιούν την αφαίρεση ή την καταστροφή του υπάρχοντος οστικού ιστού), προάγοντας την ταχύτερη επούλωση και μια πιο άνετη ανάρρωση.
  • Εξατομικευμένο Θεραπευτικό Πλάνο: Κάθε θεραπευτικό πλάνο σχεδιάζεται σχολαστικά γύρω από τη μοναδική ανατομία και τις ανάγκες της γνάθου σας, εξασφαλίζοντας βέλτιστα αποτελέσματα και μακροπρόθεσμη επιτυχία.
  • Ενισχυμένη Αισθητική: Αποκτάτε ένα όμορφο καιφυσικό χαμόγελο, που ολοκληρώνει τα χαρακτηριστικά του προσώπου σας και ενισχύει την αυτοεκτίμησή σας.
Μέθοδος All-on-4®Μέθοδος All-on-6®Μέθοδος All-on-X®

Αφαίρεση Εμφυτευμάτων Δοντιών που Είναι Αποτυχημένα, Απορριφθέντα, Σπασμένα ή Ραγισμένα

Όταν τα εμφυτεύματα δοντιών έχουν μολυνθεί ή προκαλούν πόνο λόγω φλεγμονής, τότε πρέπει να πραγματοποιηθεί η αφαίρεσή τους. Άλλοι λόγοι για την αφαίρεση των εμφυτευμάτων δοντιών περιλαμβάνουν την αποτυχία, την απόρριψη από το σώμα, το σπάσιμο ή το ράγισμα των εμφυτευμάτων δοντιών, την κίνηση των εμφυτευμάτων ή τα σπασίματα των βιδών που χρησιμοποιούνται στα εμφυτεύματα δοντιών.

Εάν πρέπει να αφαιρέσετε το εμφύτευμα δοντιού σας, είτε λόγω αποτυχίας είτε για οποιονδήποτε άλλο λόγο, να είστε σίγουροι ότι μπορείτε να απευθυνθείτε στις εξειδικευμένες κλινικές μας σε Μαρούσι, Περιστέρι και Θεσσαλονίκη. Η άκρως έμπειρη και εξειδικευμένη ιατρική ομάδα μας, συμπεριλαμβανομένων του έμπειρου και εξειδικευμένου Γναθοχειρουργού Dr. Κωνσταντίνου Ψωμαδέρη και των Ειδικών Προσθετολόγων μας, θα αξιολογήσει προσεκτικά την περίπτωσή σας και θα δημιουργήσει ένα εξατομικευμένο σχέδιο θεραπείας για εσάς, εξασφαλίζοντας μια γρήγορη και ανώδυνη διαδικασία αφαίρεσης.

Δείτε Περισσότερα
ORALIS

Κουκουδέτσος Σταύρος

Χειρουργός – Οδοντίατρος

Απόφοιτος Α.Π.Θ.

  • Μετεκπαιδευθείς στην Περιοδοντολογία & Βιολογία Εμφυτευμάτων στο
  • Αριστοτέλειο Πανεπιστήμιο Θεσσαλονίκης
  • Μετεκπαιδευθείς στην Ορθοδοντική στο New York University, U.S.A.
  • Mastership in Laser Dentistry
Close Menu
ΚΑΛΕΣΤΕ ΜΑΣ
ΡΩΤΗΣΤΕ ΜΑΣ