Skip to main content

Οστικά Block: Τι Είναι

Τα οστικα block έχουν ως βασικό σκοπό την ανοικοδόμηση της ελλειμματικής περιοχής της γνάθου (οστικά ελλείμματα) ώστε να προετοιμαστεί για να φιλοξενήσει και να στηρίξει τα εμφυτεύματα που πρόκειται να τοποθετηθούν.

Τα οστικά Block είναι συμπαγή οστικά τρισδιάστατα τεμάχια που κατασκευάζονται από οστικό αυτομόσχευμα το οποίο λαμβάνεται απευθείας από τον ασθενή. Η συνηθέστερη περιοχή που λαμβάνεται το οστικό αυτομόσχευμα είναι η έξω λοξή γραμμή της κάτω γνάθου.

Oralis Dental Center

Αποκτήστε Ένα Λαμπερό Χαμόγελο

Οστικά Block
Οστικά Block

Οστικά Block: Ποιοι Είναι οι Βασικοί Λόγοι που Προτιμούνται

Οι κυριότεροι λόγοι που ο Γναθοχειρουργός προτιμάει τα Οστικά Block είναι οι εξής:

  1. Το νέο δημιουργηθέν οστούν θα πρέπει να φιλοξενήσει τα οδοντικά εμφυτεύματα.
  2. Δεν είναι εφικτή η δημιουργία οστού χωρίς την ύπαρξη οστεοβλαστών.
  3. Δεν είναι δυνατή η δημιουργία οστού από ετερόλογα και αλλοπλαστικά οστικά μοσχεύματα εάν το προς πλήρωση έλλειμμα δεν περιβάλλεται από δύο τουλάχιστον οστικά τοιχώματα.

Οστικά Block: Ποια Είναι η Διαδικασία Τοποθέτησης

Η επεμβατική διαδικασία για τα Οστικά Block περιλαμβάνει τη λήψη του μοσχεύματος και την τοποθέτησή του στην ελλειμματική περιοχή. Σε αυτή τη νέα του θέση, το μόσχευμα ακινητοποιείται με τη χρήση μικρών βιδών οστεοσύνθεσης. Ακολούθως, μεσολαβεί μια χρονική περίοδος επούλωσης και αναμονής που διαρκεί συνολικά τρεις μήνες, κατά την οποία το μόσχευμα ενσωματώνεται πλήρως με το υπάρχον οστούν και το μέγεθος της γνάθου αυξάνεται.

Μόλις περάσει αυτό το διάστημα, ο Γναθοχειρουργός τοποθετεί τα εμφυτεύματα κατά τον συνήθη τρόπο. Τα Οστικά Block είναι μια απλή διαδικασία με διάρκεια περίπου μισή ώρα, ενώ συνήθως η επέμβαση πραγματοποιείται με τοπική αναισθησία.

Το Oralis Dental Center, με το εξειδικευμένο προσωπικό του και τις τεκμηριωμένες τεχνικές του, εγγυάται υψηλά ποσοστά επιτυχίες και εξατομικευμένα θεραπευτικά προγράμματα που εφαρμόζονται με τη μέγιστη ασφάλεια. Στόχος μας είναι να παρέχουμε οριστική λύση σε κάθε πρόβλημα του ασθενούς.

ORALIS

Κουκουδέτσος Σταύρος

Χειρουργός – Οδοντίατρος

Απόφοιτος Α.Π.Θ.

  • Μετεκπαιδευθείς στην Περιοδοντολογία & Βιολογία Εμφυτευμάτων στο
  • Αριστοτέλειο Πανεπιστήμιο Θεσσαλονίκης
  • Μετεκπαιδευθείς στην Ορθοδοντική στο New York University, U.S.A.
  • Mastership in Laser Dentistry

19

Χρόνια Εμπειρίας

14000

Διαδικασίες Τοποθέτησης

2500

"Δόντια Σε 1 Μέρα"

98

Επιτυχία

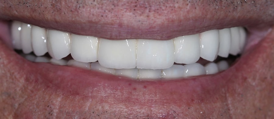
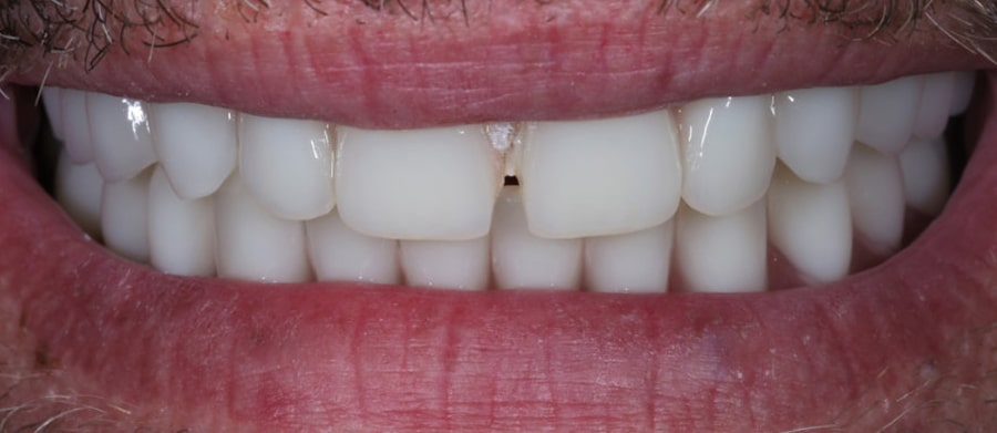
Ενδεικτικά Πριν και Μετά

Δείτε όλα τα Πριν & Μετά
Close Menu
ΚΑΛΕΣΤΕ ΜΑΣ
ΡΩΤΗΣΤΕ ΜΑΣ