Skip to main content

Έμπειρο και καταξιωμένο επιστημονικό προσωπικό

Σχεδιάζει το πιο όμορφο χαμόγελό σας!

Στα Oralis Dental Center – Μαρούσι, Περιστέρι και Θεσσαλονίκη καταρτίζεται εξατομικευμένο σχέδιο θεραπείας για κάθε ασθενή, το οποίο υλοποιείται από τους εξειδικευμένους οδοντιάτρους μας, καθένας από τους οποίους επεμβαίνει στο πλαίσιο του επιστημονικού και κλινικού αντικειμένου της ειδικότητάς του.
Δείτε την αλλαγή στα χαμόγελα των ασθενών μας στα Πριν & Μετά που ακολουθούν

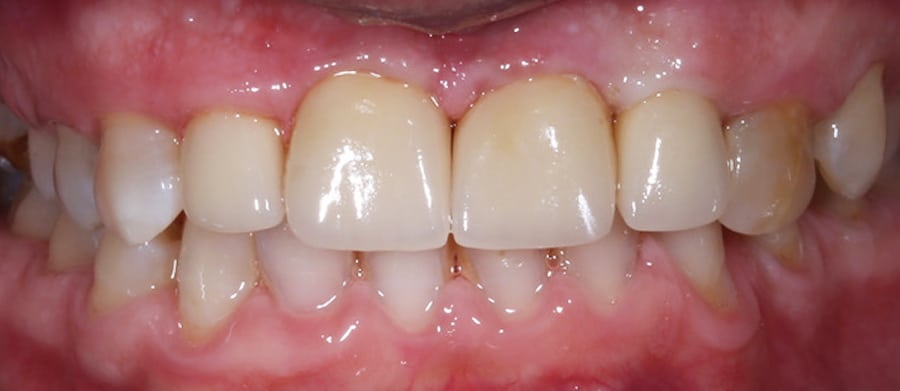
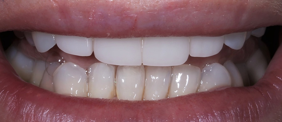
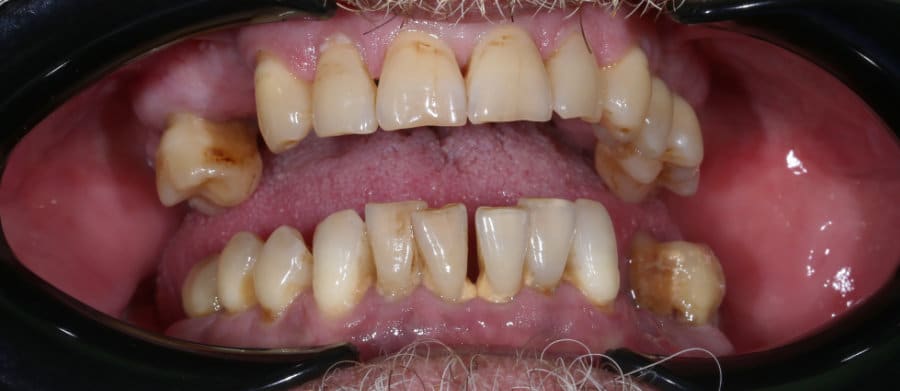
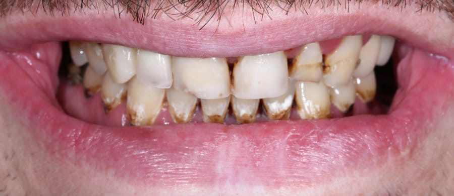
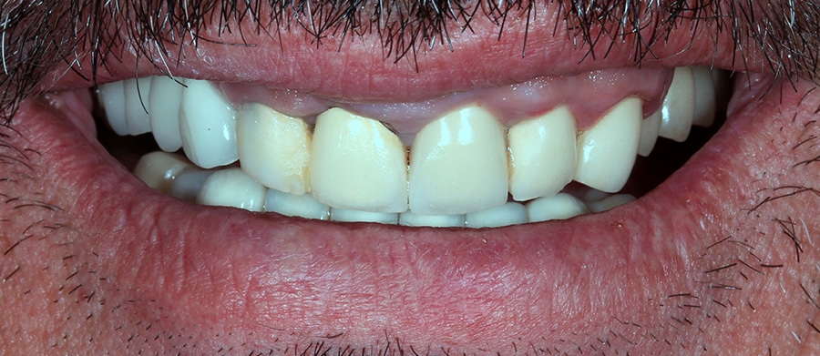
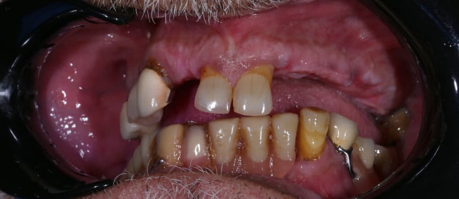
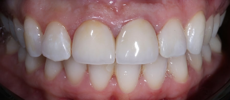
Πριν και Μετά – Εμφυτεύματα Δοντιών


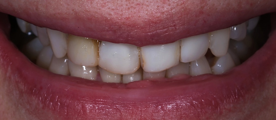
Πριν και Μετά – Όψεις Ρητίνης

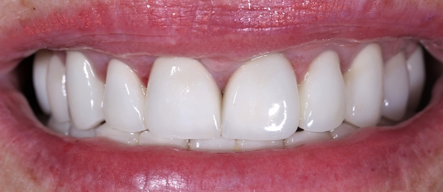
Πριν και Μετά – Όψεις Πορσελάνης


Πριν και Μετά – Στεφάνες



Πριν και Μετά – Λεύκανση

Πριν και Μετά – Ολικές Οδοντοστοιχίες

Πριν και Μετά – Άμεση Φόρτιση

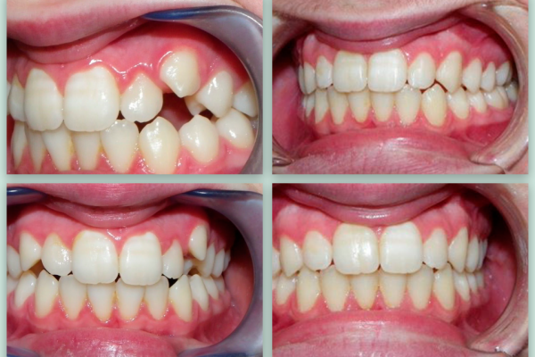
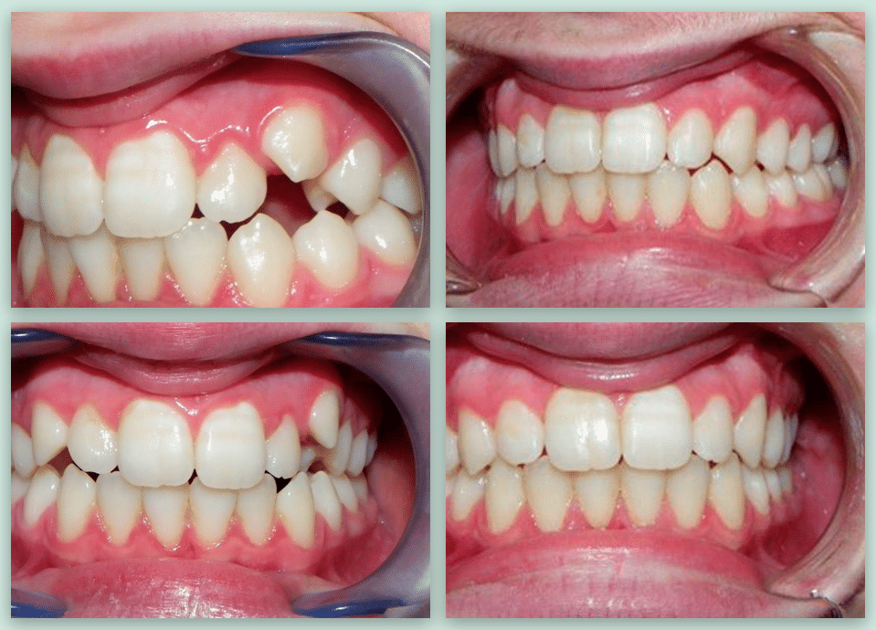
Πριν και Μετά – Ορθοδοντική

Close Menu
ΚΑΛΕΣΤΕ ΜΑΣ
ΡΩΤΗΣΤΕ ΜΑΣ