Skip to main content

Λεύκανση Δοντιών για ένα Αστραφτερό Χαμόγελο

Η επαγγελματική λεύκανση δοντιών είναι μια απλή, ασφαλής και αποτελεσματική διαδικασία για να ανανεωθεί και να λάμψει το χαμόγελό του ασθενούς.

Στόχος στη λεύκανση δοντιών είναι η καταπολέμηση του αποχρωματισμού και των λεκέδων από το κάπνισμα ή την κατανάλωση καφέ, τσαγιού ή κρασιού.

Η λεύκανση δοντιών είναι η ιδανική λύση για ένα άμεσα πιο λαμπερό και εντυπωσιακό χαμόγελο.

Oralis Dental Center

Αποκτήστε Ένα Λαμπερό Χαμόγελο

Λεύκανση Δοντιών
Λεύκανση Δοντιών

Λεύκανση Δοντιών - Διαφορές Μεταξύ της Επαγγελματικής Λεύκανσης & της Λεύκανσης Δοντιών στο Σπίτι

Οι επιλογές για λεύκανση δοντιών στο σπίτι περιλαμβάνουν οδοντόκρεμες, στυλό λεύκανσης και ειδικά kit που ποικίλλουν στην τιμή, τη δυσκολία χρήσης και την αποτελεσματικότητα τους.

Παρόλο που υπάρχουν διάφορες επιλογές, τα αποτελέσματα στη λεύκανση δοντιών στο σπίτι μπορεί να είναι ελάχιστα και να δημιουργήσουν εν τέλει πρόβλημα στα δόντια και ευαισθησία.

Για να μπορέσει μια λεύκανση δοντιών να είναι επιτυχής, είναι απαραίτητη προϋπόθεση τα δόντια και τα ούλα να είναι υγιή. Δεν μπορεί να πραγματοποιηθεί λεύκανση σε δόντια που φέρουν τερηδόνα ή σε περιοδοντικούς ιστούς που νοσούν.

Μόνο ένας έμπειρος και πλήρως καταρτισμένος οδοντίατρος μπορεί να προσφέρει τις πιο αποτελεσματικές θεραπείες που λευκαίνουν τα δόντια του ασθενούς άμεσα, αποτελεσματικά και με ασφάλεια.

ORALIS

Κουκουδέτσος Σταύρος

Χειρουργός – Οδοντίατρος

Απόφοιτος Α.Π.Θ.

  • Μετεκπαιδευθείς στην Περιοδοντολογία & Βιολογία Εμφυτευμάτων στο
  • Αριστοτέλειο Πανεπιστήμιο Θεσσαλονίκης
  • Μετεκπαιδευθείς στην Ορθοδοντική στο New York University, U.S.A.
  • Mastership in Laser Dentistry

Οι Θεραπείες Λεύκανσης Δοντιών που Προσφέρει το Oralis Dental Center

Η διαδικασία στη λεύκανση δοντιών περιλαμβάνει δύο στάδια.

Στο πρώτο στάδιο, η λεύκανση δοντιών πραγματοποιείται στο ιατρείο με τη χρήση laser, ενώ στο δεύτερο στάδιο, ο ασθενής συνεχίζει τη λεύκανση δοντιών στο σπίτι με ειδικούς νάρθηκες για συγκεκριμένο χρονικό διάστημα. Ο συνδυασμός αυτός εξασφαλίζει τα βέλτιστα αποτελέσματα, προσαρμοσμένα στις ανάγκες κάθε ατόμου.

Για να επιτύχετε ένα πιο άμεσο και μακροχρόνιο αποτέλεσμα, είναι σημαντικό να δώσετε ιδιαίτερη προσοχή στο δεύτερο στάδιο, αποφεύγοντας την κατανάλωση τροφών και ποτών με έντονες χρωστικές ουσίες.

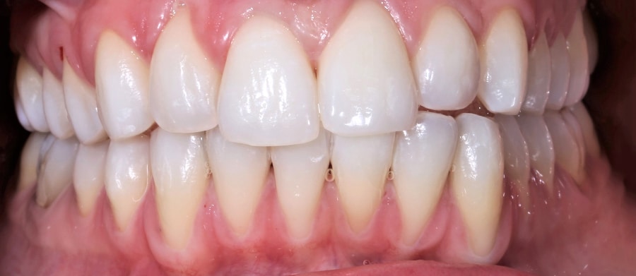
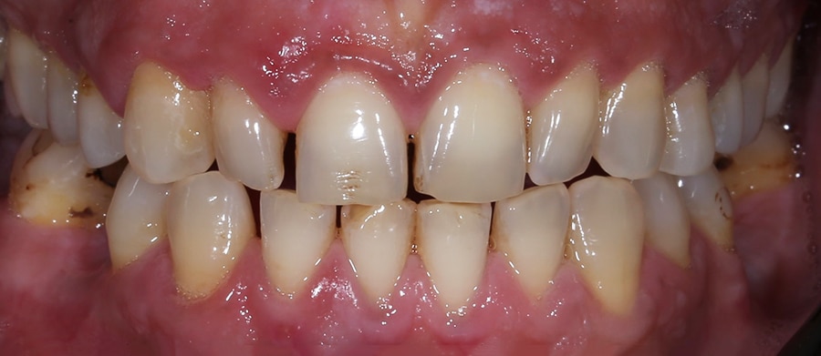
Ενδεικτικά Πριν και Μετά

Δείτε όλα τα Πριν & Μετά
Close Menu
ΚΑΛΕΣΤΕ ΜΑΣ
ΡΩΤΗΣΤΕ ΜΑΣ