Skip to main content

Στεφάνες – Θήκες Δοντιών: Τι Είναι & Ποια Είναι τα Είδη τους;

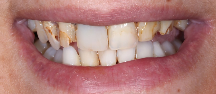
Οι στεφάνες – θήκες δοντιών είναι η αποκατάσταση που καλύπτει ολόκληρη τη μασητική επιφάνεια αλλά και τις πλευρικές επιφάνειες του δοντιού, ενώ παράλληλα προστατεύει από πιθανό κάταγμα του δοντιού κατά τη διάρκεια της μάσησης. Όταν τα δόντια είναι πολύ κατεστραμμένα, τότε ενδέχεται να χρειαστεί ενδοδοντική θεραπεία και τοποθέτηση ενδορριζικού άξονα.

Υπάρχουν συνολικά 4 είδη στεφάνων – θηκών δοντιών:

  • Οι μεταλλικές στεφάνες – θήκες.
  • Οι ολοκεραμικές στεφάνες – θήκες.
  • Οι μεταλλοκεραμικές στεφάνες – θήκες.
  • Οι στεφάνες θήκες ζιρκονίας.

Oralis Dental Center

Αποκτήστε Ένα Λαμπερό Χαμόγελο

Στεφάνες - Θήκες Δοντιών
Στεφάνες - Θήκες Δοντιών

Αναλυτικά:

  • Οι μεταλλικές στεφάνες – θήκες δοντιών είναι κατασκευασμένες από κράμα χρυσού ή κράμα παλλαδίου ή από κράμα βασικών μετάλλων. Έχουν μεγάλη αντοχή, αλλά όχι καλή αισθητική.
  • Οι ολοκεραμικές στεφάνες – θήκες δοντιών είναι κατασκευασμένες εξ ολοκλήρου από πορσελάνη και έχουν εξαιρετική αισθητική απόδοση. Συνήθως, χρησιμοποιούνται στα μπροστινά δόντια και αντέχουν πολύ στο χρόνο, προσφέροντας σχεδόν μόνιμη αποκατάσταση. Το κόστος τους είναι σχετικά υψηλό, ενώ δεν ενδείκνυνται για ασθενείς με βρυγμό ή τριγμό δοντιών.
  • Οι μεταλλοκεραμικές στεφάνες – θήκες δοντιών αποτελούνται εσωτερικά από μεταλλικό κράμα (τιτάνιο, χρυσό, χρώμιο και άλλα), το οποίο εξωτερικά καλύπτεται από πορσελάνη. Έχουν καλή αισθητική και μεγάλη αντοχή στο χρόνο, ενώ μπορούν να χρησιμοποιηθούν σε οποιαδήποτε περιοχή του στόματος. Χρησιμοποιούνται ως στηρίγματα γέφυρας ή κινητής οδοντοστοιχίας και έχουν καλή εφαρμογή.
  • Οι στεφάνες – θήκες ζιρκονίας αποτελούνται εσωτερικά από ζιρκονία που καλύπτεται εξωτερικά με πορσελάνη. Έχουν μεγάλη αντοχή, καλή εφαρμογή και άριστη αισθητική, ενώ εφαρμόζονται σε οποιαδήποτε περιοχή του στόματος και χρησιμοποιούνται ως στηρίγματα γέφυρας.

Η Πληρέστερη Ιατρική Ομάδα Προσθετικής Δοντιών

Νέα, Σύγχρονη & Εξειδικευμένη Λύση - Τεχνική

Στεφάνες - Θήκες με Εμφυτεύματα Δοντιών: Τι είναι & Γιατί αποτελούν την πιο αποτελεσματική λύση;

  • Οι στεφάνες – θήκες με εμφυτεύματα δοντιών είναι μια διαδικασία που προσφέρει καλαίσθητο και μόνιμο αποτέλεσμα και αντιμετωπίζει μια πληθώρα στοματικών δυσκολιών.
  • Πρόκειται για προσθετική αποκατάσταση που χρησιμοποιείται, ώστε να καλυφθεί ένα κενό χώρου στο στόμα στην περίπτωση που λείπουν 1 ή/και περισσότερα δόντια.
  • Οι στεφάνες – θήκες με εμφυτεύματα τοποθετούνται σε συγκεκριμένες περιπτώσεις μετά από απαραίτητη αξιολόγηση της οδοντιατρικής εικόνας του ασθενούς από έμπειρο και εξειδικευμένο Γναθοχειρουργό, ώστε να αποφασίσει αν είναι απαραίτητη η χρήση τους.
  • Η πλήρως καταρτισμένη, έμπειρη και εξειδικευμένη ιατρική ομάδα του Oralis Dental Center εγγυάται άψογα και άμεσα αποτελέσματα με τον ασφαλέστερο τρόπο.
  • Στόχος μας είναι ο κάθε ένας από τους ασθενείς μας να επιστρέψει στις καθημερινές του δραστηριότητες χωρίς κανένα πρόβλημα στη στοματική κοιλότητα, όσο δύσκολη και αν είναι η περίπτωσή του.
  • Οι στεφάνες – θήκες με εμφυτεύματα αποτελούνται από στεφάνες – θήκες δοντιών που είναι πλευρικά ενωμένες μεταξύ τους. Η συγκεκριμένη προσθετική εργασία είναι πλήρως προσαρμοσμένη στα ανατομικά χαρακτηριστικά του ασθενούς.
  • Ανάλογα με το υλικό της κατασκευής τους, οι στεφάνες – θήκες με εμφυτεύματα χωρίζονται σε 3 κατηγορίες: ολοκεραμικές, μεταλλοκεραμικές και ζιρκονίας.

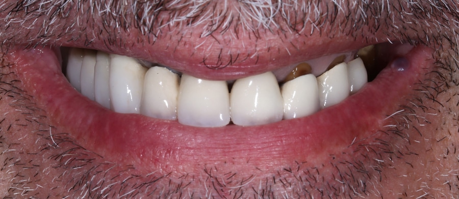
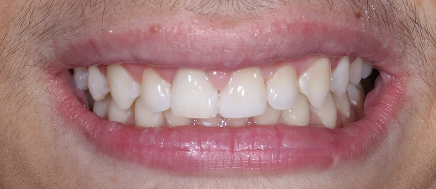
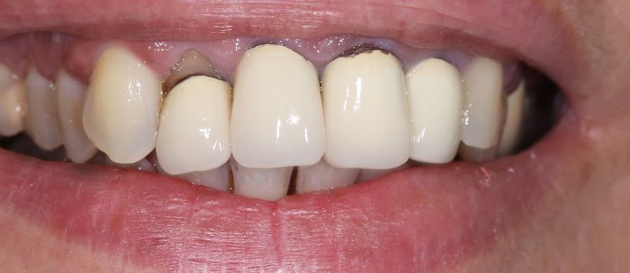
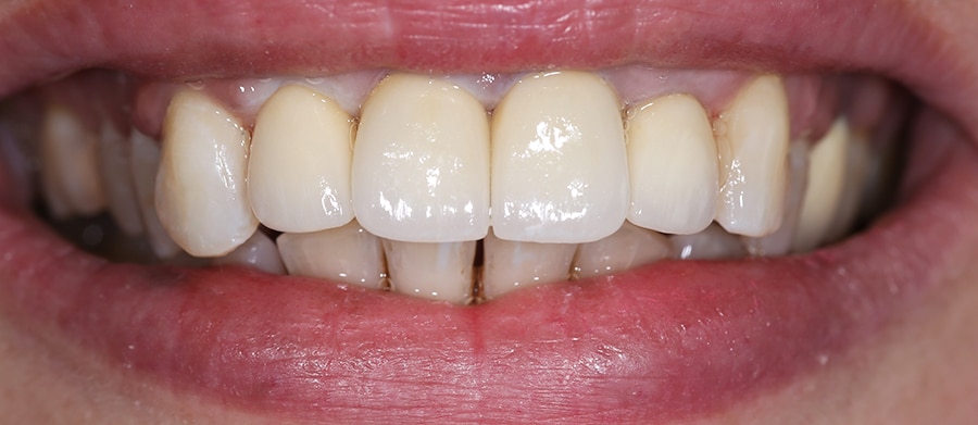
Ενδεικτικά Πριν και Μετά

Δείτε όλα τα Πριν & Μετά

Στεφάνες - Θήκες Δοντιών: Πότε τοποθετούνται & Πότε χρειάζονται αντικατάσταση;

Οι ενδείξεις ότι πρέπει να τοποθετηθούν οι στεφάνες – θήκες δοντιών είναι οι εξής:

  • Σε σπασμένα δόντια.
  • Όταν υπάρχει απώλεια οδοντικής επιφάνειας, λόγω ηλικίας ή τριξίματος των δοντιών.
  • Σε δόντια έπειτα από ενδοδοντική θεραπεία.
  • Σε δόντια με μεγάλα σφραγίσματα.
  • Για τη στήριξη μιας κινητής οδοντοστοιχίας ή γέφυρας στην περίπτωση που λείπουν διπλανά δόντια.
  • Για τη βελτίωση της αισθητικής εμφάνισης των δοντιών και του στόματος.

Συνήθως, μια στεφάνη έχει αντοχή 10-15 χρόνια ή ενδέχεται να αντέξει και περισσότερα χρόνια, αναλόγως πάντα το κατά πόσο ο ασθενής φροντίζει τη στοματική του υγιεινή. Ωστόσο,  υπάρχουν περιπτώσεις που είναι απαραίτητο να γίνει αντικατάσταση νωρίτερα. Αυτό συμβαίνει όταν διαπιστωθεί:

  • Απόχρωση της στεφάνης.
  • Υποχώρηση των ούλων.
  • Τερηδόνα στο δόντι.
  • Σπάσιμο της στεφάνης.

Στεφάνες - Θήκες Δοντιών: Ποια είναι η διαδικασία τοποθέτησης;

  • 1η Επίσκεψη: Γίνεται χρωματοληψία με ηλεκτρονικό φασματογράφο, καθώς και λήψη αρχικού αποτυπώματος για την κατασκευή της προσωρινής αποκατάστασης.
  • 2η Επίσκεψη: Περιλαμβάνει τοπική αναισθησία και μείωση του όγκου του δοντιού περιφερικά με τον τροχό (παρασκευή του δοντιού), ενώ καταλήγει με την τοποθέτηση της προσωρινής στεφάνης.
  • 3η Επίσκεψη: Αφαιρείται η προσωρινή στεφάνη, γίνεται η τελική παρασκευή του δοντιού και η λήψη του τελικού αποτυπώματος, ενώ στο τέλος επανατοποθετείται η προσωρινή στεφάνη.
  • 4η Επίσκεψη: Γίνεται αφαίρεση της προσωρινής στεφάνης και δοκιμή της εφαρμογής του σκελετού της μόνιμης στεφάνης, ενώ στο τέλος επανατοποθετείται η προσωρινή στεφάνη.
  • 5η Επίσκεψη: Περιλαμβάνει την αφαίρεση της προσωρινής στεφάνης, τη δοκιμή της παρασκευασμένης στεφάνης, η οποία ακόμα δεν έχει γυαλιστεί, καθώς και την επανατοποθέτηση της προσωρινής στεφάνης.
  • 6η Επίσκεψη: Γίνεται η αφαίρεση της προσωρινής στεφάνης και η προσκόλληση της μόνιμης στεφάνης με κονία τελικής αποκατάστασης. Γίνεται επανεξέταση 1 εβδομάδα αργότερα.
Close Menu
ΚΑΛΕΣΤΕ ΜΑΣ
ΡΩΤΗΣΤΕ ΜΑΣ