Skip to main content

Όψεις Ρητίνης: Τι Είναι

Οι όψεις ρητίνης αποτελούν τη λιγότερο επεμβατική αισθητική εργασία, κατά τη διάρκεια της οποίας αφαιρείται ελάχιστη ή καθόλου οδοντική ουσία από την πρόσθια επιφάνεια των δοντιών και στη συνέχεια αντικαθίσταται από ένα στρώμα υλικού, τη συνθετική ρητίνη. Οι όψεις ρητίνης έχουν την ίδια εμφάνιση και λειτουργικότητα ενός φυσικού δοντιού, βελτιώνοντας έτσι την αισθητική του χαμόγελου και προστατεύοντας την επιφάνεια των δοντιών. 

Οι όψεις ρητίνης χωρίζονται σε δύο κατηγορίες. Η πρώτη είναι οι άμεσες όψεις ρητίνης, που κατασκευάζονται στο ιατρεία με τη βοήθεια ενός κλειδιού σιλικόνης. Η δεύτερη κατηγορία είναι οι έμμεσες όψεις ρητίνης, που κατασκευάζονται στο οδοντοτεχνικό εργαστήριο και στη συνέχεια συγκολλούνται με ειδική κόλλα πάνω στο δόντι.

Oralis Dental Center

Αποκτήστε Ένα Λαμπερό Χαμόγελο

Όψεις Ρητίνης
Όψεις Ρητίνης

Όψεις Ρητίνης: Σε Ποιες Περιπτώσεις Χρησιμοποιούνται & Πότε Αποφεύγεται η Τοποθέτησή τους

Οι όψεις ρητίνης χρησιμοποιούνται σε αρκετές περιπτώσεις, όπως στα αποχρωματισμένα δόντια, την αραιοδοντία, τα δόντια με παλιά σφραγίσματα, την πλήρωση ρωγμών και το ουλικό χαμόγελο. Ακόμα, οι όψεις ρητίνης χρησιμοποιούνται στην περίπτωση που είναι απαραίτητη η αλλαγή του σχήματος του υπάρχοντος δοντιού, καθώς και για την αποκατάσταση μικρών ορθοδοντικών προβλημάτων ή την κάλυψη και απευαισθητοποίηση τμήματος της ρίζας του δοντιού που έχει εκτεθεί λόγω υφίζησης των ούλων.

Ωστόσο, υπάρχουν και μερικές περιπτώσεις που η τοποθέτηση όψεων ρητίνης αντενδείκνυται. Αυτό αφορά κατά κύριο λόγο ασθενείς που καπνίζουν πολύ, τρίζουν ή σφίγγουν τα δόντια τους, έχουν έλλειψη αδαμαντίνης λόγω φθοράς ή αποτριβής, παρουσιάζουν μειωμένη επάρκεια οδοντικών ιστών, πάσχουν από ουλίτιδα ή περιοδοντίτιδα, αντιμετωπίζουν θέματα τερηδόνας ή συνηθίζουν να δαγκώνουν τα νύχια τους.

Όψεις Ρητίνης: Ποια Είναι τα Πλεονεκτήματα & Ποια τα Μειονεκτήματα

Η τοποθέτηση των όψεων ρητίνης έχει μια μεγάλη ποικιλία πλεονεκτημάτων, τόσο ως διαδικασία όσο και σχετικά με το τελικό αποτέλεσμα. Αρχικά, οι όψεις ρητίνης αποτελούν την οικονομικότερη λύση σε σχέση με τις όψεις πορσελάνης ή τις ολοκεραμικές στεφάνες. Επίσης, αφαιρείται ελάχιστη οδοντική ουσία και είναι μια ανώδυνη διαδικασία για την οποία δεν απαιτείται αναισθησία. Τα δόντια επισκευάζονται εύκολα εάν σπάσουν και διορθώνονται εύκολα σε περίπτωση που το τελικό σχήμα των δοντιών δεν ικανοποιεί τον ασθενή. 

Όσον αφορά τα μειονεκτήματα, ουσιαστικά το μοναδικό μειονέκτημα είναι ότι το υλικό που χρησιμοποιείται για τις Όψεις Ρητίνης (σύνθετη ρητίνη) προσροφά χρωστικές και σε αρκετές περιπτώσεις μπορεί να χρειαστεί αντικατάσταση. Υπό αυτή την έννοια, το αποτέλεσμα μπορεί να μην θεωρείται μόνιμο. Και πάλι, αυτό δεν αποτελεί σημαντικό εμπόδιο στην επιλογή για την τοποθέτησή τους.

ORALIS

Κουκουδέτσος Σταύρος

Χειρουργός – Οδοντίατρος

Απόφοιτος Α.Π.Θ.

  • Μετεκπαιδευθείς στην Περιοδοντολογία & Βιολογία Εμφυτευμάτων στο
  • Αριστοτέλειο Πανεπιστήμιο Θεσσαλονίκης
  • Μετεκπαιδευθείς στην Ορθοδοντική στο New York University, U.S.A.
  • Mastership in Laser Dentistry

Όψεις Ρητίνης: Ποια Είναι η Διαδικασία της Τοποθέτησης

Η διαδικασία της τοποθέτησης ολοκληρώνεται σε 2 με 3 συνεδρίες. Στο Oralis Dental Center κάνουμε το καλύτερο δυνατό για ένα άμεσο και εκθαμβωτικό τελικό αποτέλεσμα με όψεις ρητίνης!

Συνεδρία 1η:

Πραγματοποιείται λήψη αρχικού αποτυπώματος με τον ενδοστοματικό σαρωτή. Στη συνέχεια, το συγκεκριμένο αποτύπωμα αποστέλλεται στον οδοντοτεχνίτη ο οποίος θα σχεδιάσει τις Όψεις Ρητίνης, προκειμένου ο ασθενής να έχει τη δυνατότητα να δει το τελικό αποτέλεσμα (ψηφιακός σχεδιασμός χαμόγελου). Με αυτόν τον τρόπο υπάρχει η δυνατότητα να γίνουν οι απαραίτητες τροποποιήσεις σε περίπτωση που αυτές χρειαστούν, προκειμένου ο ασθενής να είναι πλήρως και απολύτως ικανοποιημένος. Ακόμα, υπάρχει η δυνατότητα κατασκευής ενός κλειδιού σιλικόνης (καλούπι) σύμφωνα με τον τελικό σχεδιασμό.

Συνεδρία 2η:

Ο οδοντίατρος παρασκευάζει (τροχίζει) τα δόντια, με τέτοιο τρόπο ώστε να μπορούν να χρησιμοποιηθούν ως βάση για την τοποθέτηση της όψης. Ακολούθως, αναλόγως και την τεχνική που έχει επιλεγεί σε συνεννόηση με τον ασθενή, ακολουθεί η εξής διαδικασία:

 

  1. Άμεση Τεχνική: Μετά από το τρόχισμα των δοντιών με τη βοήθεια του κλειδιού σιλικόνης, κατασκευάζονται οι όψεις ρητίνης άμεσα πάνω στα δόντια. 
  2. Έμμεση Τεχνική: Πραγματοποιείται η λήψη του τελικού αποτυπώματος των παρασκευασμένων (τροχισμένων) δοντιών με ενδοστοματικό σαρωτή και γίνεται χρωματοληψία ώστε να ταιριάζει το χρώμα των υπόλοιπων δοντιών με εκείνο των όψεων. Στο τέλος της συνεδρίας, τοποθετούνται προσωρινές Όψεις Ρητίνης.

Συνεδρία 3η:

Οι προσωρινές όψεις ρητίνης αφαιρούνται και γίνεται αξιολόγηση των μόνιμων όψεων ως προς το χρώμα και την εφαρμογή. Ακολούθως, πραγματοποιείται η κόλληση στα δόντια με ειδικές κονίες (κόλλες) και, εφόσον κολληθούν οι μόνιμες όψεις ρητίνης, δεν είναι δυνατό να αφαιρεθούν παρά μόνο από τον ίδιο τον οδοντίατρο. 

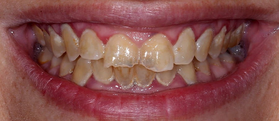
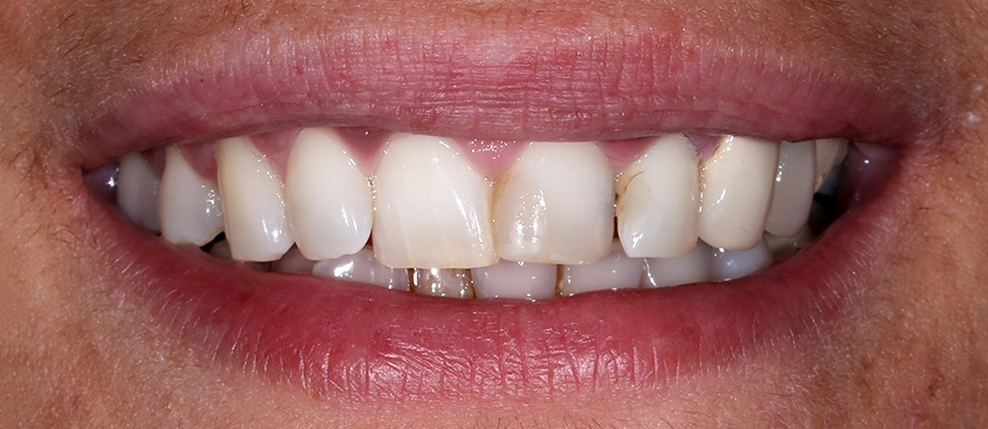
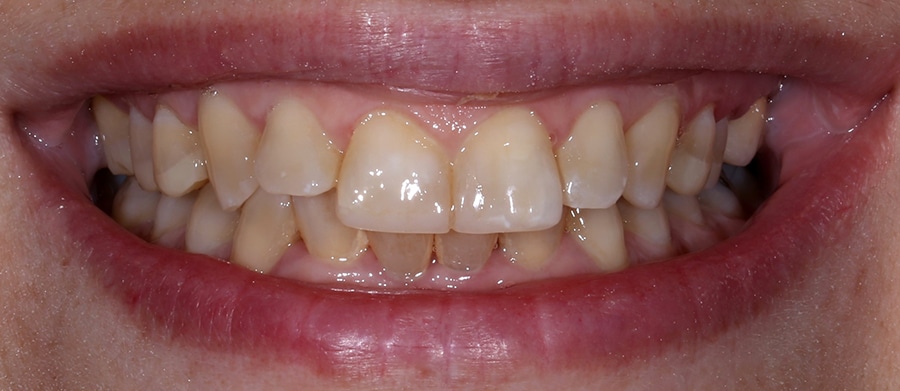
Ενδεικτικά Πριν και Μετά

Δείτε όλα τα Πριν & Μετά

Όψεις ρητίνης - Τι Πρέπει να Αποφεύγετε Μετά την Τοποθέτηση

Μετά την τοποθέτηση των όψεων ρητίνης, πρέπει να αποφεύγεται το μάσημα σκληρών τροφών στα δόντια που έχουν τοποθετηθεί οι όψεις, καθώς και το δάγκωμα νυχιών, μολυβιού, ή και άλλων σκληρών αντικειμένων. Επίσης, πρέπει να ακολουθούνται πιστά οι οδηγίες στοματικής υγιεινής, ενώ η κατανάλωση καφέ, καπνού, κόκκινου κρασιού και άλλων ουσιών είναι πιθανό να δημιουργήσουν χρωστικές στις όψεις ρητίνης. Τέλος, είναι πολύ σημαντικό κάθε έξι μήνες να πραγματοποιείται ο τακτικός οδοντιατρικός καθαρισμός.

Το Oralis Dental Center εγγυάται ασφαλή και άριστα αποτελέσματα από εξειδικευμένο προσωπικό.

Close Menu
ΚΑΛΕΣΤΕ ΜΑΣ
ΡΩΤΗΣΤΕ ΜΑΣ