Skip to main content

Ψηφιακή Ορθοδοντική: Πόσο έχει εξελιχθεί σήμερα;

Σήμερα, στην εποχή της ταχείας τεχνολογικής ανάπτυξης, η Ορθοδοντική αλλάζει με μεγάλη ταχύτητα, περισσότερο ίσως από ό,τι ποτέ άλλοτε στο παρελθόν. Η καινοτομία και η τεχνολογία αποτελούν τις κύριες δυνάμεις που την κινούν προς αυτήν την κατεύθυνση.

Στον τομέα της ψηφιακής τεχνολογίας, η Ορθοδοντική έχει καταγράψει τη μεγαλύτερη πρόοδο σε σχέση με άλλους κλάδους της Οδοντιατρικής.

Oralis Dental Center

Αποκτήστε Ένα Λαμπερό Χαμόγελο

Ψηφιακή Ορθοδοντική
Ψηφιακή Ορθοδοντική

Καινοτομίες όπως οι ενδοστοματικοί σαρωτές, η θεραπεία με νάρθηκες, τα εικονικά consultation και η παρακολούθηση θεραπείας, τα ολοκληρωμένα λογισμικά και η ψηφιακή τεχνολογία σε Brackets είναι μόνο μερικά παραδείγματα των καινοτομιών που έχουν επιταχύνει τις αλλαγές στην Ορθοδοντική.

Ψηφιακή Ορθοδοντική με Ενδοστοματικούς Σαρωτές

Η χρήση των ενδοστοματικών σαρωτών έχει φέρει επανάσταση στις πρακτικές των κλινικών γιατρών σε όλους τους κλάδους της οδοντιατρικής. Πλέον, οι κλινικοί γιατροί έχουν τη δυνατότητα να σαρώνουν το στόμα των ασθενών τους και να χρησιμοποιούν λογισμικό για να εκτελέσουν διάφορες εργασίες, όπως προσομοίωση της κίνησης των δοντιών, ανίχνευση τερηδόνας, οπτικοποίηση της έντασης των μασητικών επαφών και κατασκευή ναρθήκων.

Ακόμη, οι ενδοστοματικοί σαρωτές βελτιώνουν σε πολύ μεγάλο βαθμό τη διαδικασία της θεραπείας των ασθενών. Η Align Technology και η Spark κάνουν επέκταση των δυνατοτήτων της ψηφιακής τους πλατφόρμας, διότι αρχίζουν με μια απλή, χωρίς πόνο καθώς και αποτελεσματική σάρωση. Μέσω της προσομοίωσης του λογισμικού, μπορούν να εκπαιδεύσουν τους ασθενείς, να αποκαλύψουν την προοδευτική κίνηση των δοντιών και να τους δείξουν τον επιθυμητό θεραπευτικό στόχο. Με αυτόν τον τρόπο, συμβάλλουν στην καλύτερη κατανόηση και αποδοχή της θεραπείας και, τέλος, στην επιτυχή έκβασή της.

Επίσης, μία ακόμη πρόοδος στην Ορθοδοντική σε τεχνολογικό επίπεδο είναι η δυνατότητα που παρέχεται στους ιατρούς να δουν τους ασθενείς τους ψηφιακά. Η εξέταση του νέου ασθενούς, η παρακολούθηση της θεραπείας του και ο έλεγχος μετά τη θεραπεία μπορούν να γίνουν ψηφιακά, μειώνοντας σημαντικά τον χρόνο που απαιτείται για τις επισκέψεις στο ιατρείο. Αυτή η τεχνολογία παρέχει μια λεπτομερή απεικόνιση των δοντιών και των γνάθων του ασθενούς, καθιστώντας δυνατή την ανάπτυξη γρήγορων σχεδίων θεραπείας. Η ψηφιακή απεικόνιση βελτιώνει σημαντικά την εμπειρία του ασθενούς και παρέχει μια πιο άνετη διαδικασία. Με τη χρήση αυτής της τεχνολογίας, είναι δυνατό να δειχθεί με ακρίβεια η κατάσταση της στοματικής δομής του ασθενούς και η ψηφιακή σάρωση μπορεί να ολοκληρωθεί σε λιγότερο από 5 λεπτά.

Εφαρμογές της Ψηφιακής Ορθοδοντικής

Οι εφαρμογές της ψηφιακής οδοντιατρικής στον τομέα της ορθοδοντικής είναι οι εξής:

  • Κατασκευή διαφανών ναρθήκων Invisalign και BE Aligned.
  • Δυνατότητα κατασκευής διαφόρων τύπων ορθοδοντικών μηχανισμών, όπως κινητών και ακίνητων ορθοδοντικών μηχανισμών (για παράδειγμα, Hawley, Hyrax και GNE)
  • Δυνατότητα κατασκευής μητρών που επιτρέπουν την τοποθέτηση ακίνητων ορθοδοντικών μηχανισμών (brackets) με έμμεσο τρόπο.
  • Ακριβή απεικόνιση του πλάνου θεραπείας με ψηφιακό τρόπο.
  • Αναπαραγωγή του τελικού αποτελέσματος στον τομέα της Ορθοδοντικής.
  • Δυνατότητα λήψης ψηφιακού αποτυπώματος από τα στόματα των ασθενών με λεπτομερειακό τρόπο.

Καθώς η τεχνολογική πρόοδος συνεχίζει να εξελίσσεται στον τομέα της Οδοντιατρικής, τα εργαλεία που χρησιμοποιούνται (όπως σαρωτές, μονάδες υπολογιστικής τομογραφίας με κωνική δέσμη και CBCT) θα συνεχίσουν να βελτιώνονται. Ταυτόχρονα, οι πλατφόρμες λογισμικού θα επεκτείνουν και θα συνδυάζουν τις δυνατότητές τους, προσφέροντας λύσεις και σε άλλες ειδικότητες της Οδοντιατρικής.

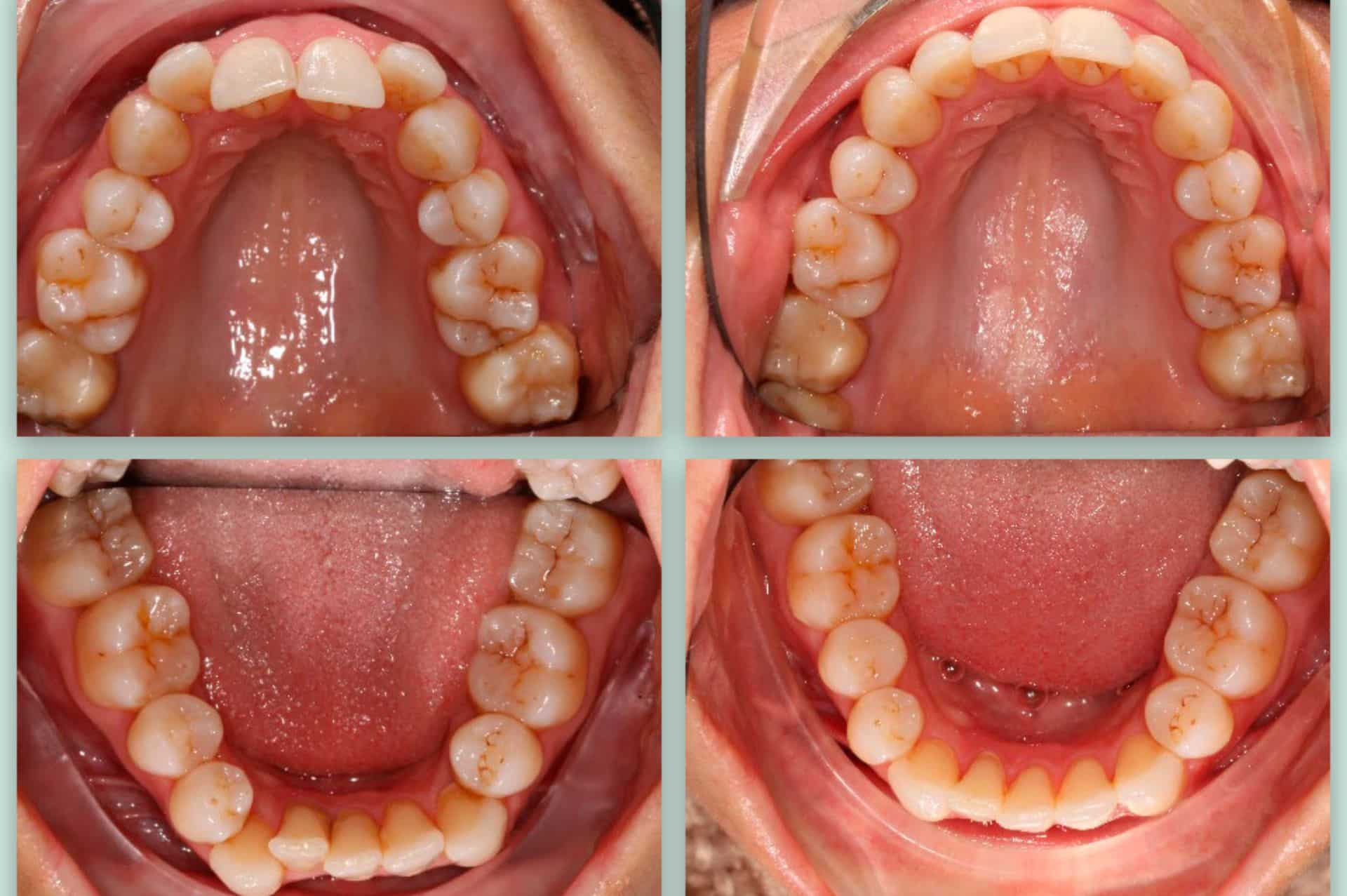
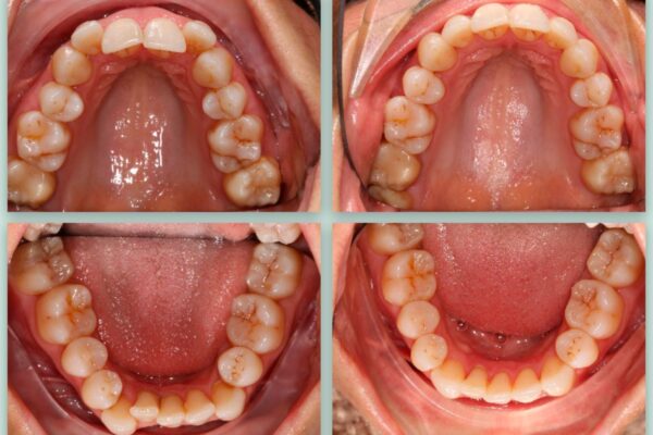
Ενδεικτικά Πριν και Μετά

Δείτε Όλα Τα Πριν & Μετά
Close Menu
ΚΑΛΕΣΤΕ ΜΑΣ
ΡΩΤΗΣΤΕ ΜΑΣ