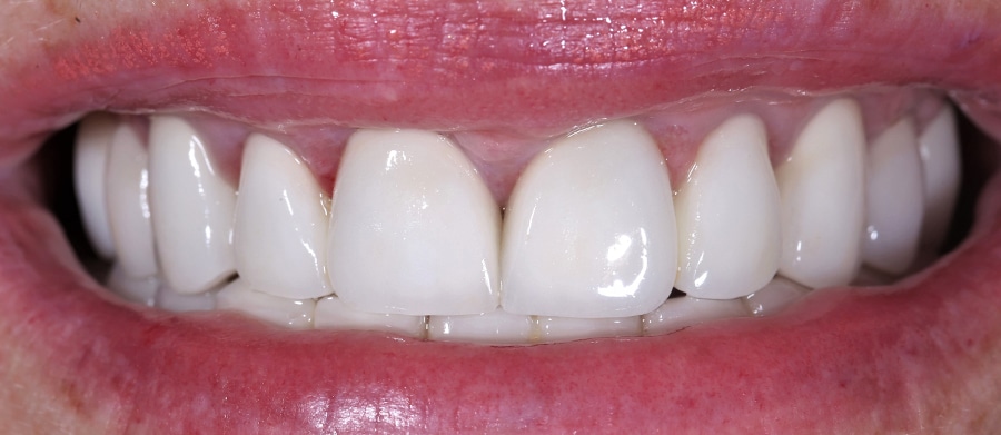
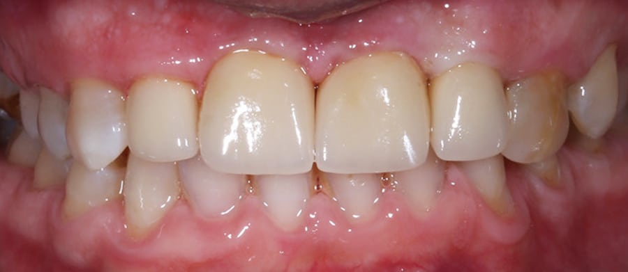
Ένα λαμπερό χαμόγελο είναι η απόλυτη έκφραση αυτοπεποίθησης και ευτυχίας. Είναι το πρώτο πράγμα που οι άνθρωποι προσέχουν και αφήνει μια μόνιμη εντύπωση. Όμως, πολλοί από εμάς αντιμετωπίζουμε προβλήματα με την εμφάνιση των δοντιών μας. Δυσχρωμίες, σπασίματα, κενά, ή απλά η φυσική φθορά μπορούν να αφαιρέσουν τη λάμψη από το χαμόγελό μας. Οι θήκες πορσελάνης αποτελούν μια επαναστατική λύση στην αισθητική οδοντιατρική, προσφέροντας μια μόνιμη και εντυπωσιακή μεταμόρφωση του στόματος.
Πώς οι θήκες πορσελάνης δημιουργούν ένα λαμπερό χαμόγελο;
Οι θήκες πορσελάνης, γνωστές και ως όψεις πορσελάνης, είναι λεπτά, προσαρμοσμένα ελάσματα που τοποθετούνται στην μπροστινή επιφάνεια των δοντιών. Η κατασκευή τους από υψηλής ποιότητας οδοντιατρική πορσελάνη, ένα υλικό που μιμείται τέλεια τις ιδιότητες των φυσικών δοντιών, τις καθιστά την ιδανική επιλογή για τη δημιουργία ενός λαμπερού χαμόγελου.
Η πορσελάνη διαθέτει μοναδικά οπτικά χαρακτηριστικά:
- Ημιδιαφάνεια: Η πορσελάνη έχει την ικανότητα να αφήνει το φως να διαπερνά με τον ίδιο τρόπο όπως τα φυσικά δόντια, δημιουργώντας ένα φυσικό και λαμπερό αποτέλεσμα.
- Λεία επιφάνεια: Η λεία επιφάνεια της πορσελάνης αντανακλά το φως, ενισχύοντας τη λάμψη του χαμόγελου.
- Χρωματική σταθερότητα: Η πορσελάνη είναι ανθεκτική στους λεκέδες, διατηρώντας το χρώμα και τη λάμψη της για πολλά χρόνια.
Επιπλέον, οι θήκες πορσελάνης επιτρέπουν στον έμπειρο οδοντίατρο με εξειδίκευση σε αυτές να:
- Διορθώσει δυσχρωμίες: Ακόμη και οι πιο έντονες δυσχρωμίες μπορούν να καλυφθούν με τις θήκες πορσελάνης.
- Αποκαταστήσει σπασμένα ή φθαρμένα δόντια: Οι θήκες πορσελάνης επαναφέρουν το σχήμα και τη λειτουργία των κατεστραμμένων δοντιών.
- Κλείσει κενά ανάμεσα στα δόντια: Η αισθητική των κενών μπορεί να εξαλειφθεί, δημιουργώντας ένα ομοιόμορφο χαμόγελο.
- Αλλάξει το σχήμα και το μέγεθος των δοντιών: Οι θήκες πορσελάνης μπορούν να προσαρμοστούν για να δημιουργήσουν το ιδανικό σχήμα και μέγεθος δοντιών για κάθε ασθενή.


Ποια είναι τα πλεονεκτήματα ενός λαμπερού χαμόγελου με θήκες πορσελάνης;
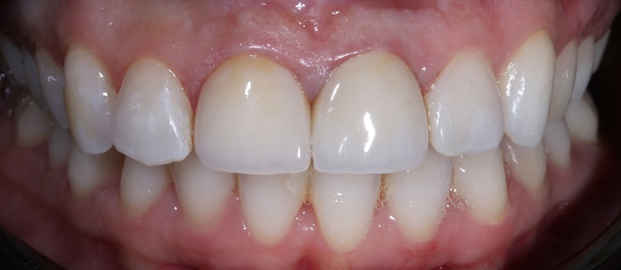
Ένα λαμπερό χαμόγελο με θήκες πορσελάνης προσφέρει μια σειρά από πλεονεκτήματα που ξεπερνούν την απλή αισθητική βελτίωση.
- Άμεση αισθητική μεταμόρφωση: Οι θήκες πορσελάνης προσφέρουν άμεσα και θεαματικά αποτελέσματα, μεταμορφώνοντας πλήρως την εμφάνιση του χαμόγελου.
- Ενίσχυση της αυτοπεποίθησης: Ένα όμορφο χαμόγελο αυξάνει την αυτοεκτίμηση και τη σιγουριά, επιτρέποντας στον ασθενή να χαμογελάει χωρίς περιορισμούς.
- Φυσική εμφάνιση: Η πορσελάνη μιμείται τέλεια την εμφάνιση των φυσικών δοντιών, δημιουργώντας ένα φυσικό και λαμπερό αποτέλεσμα.
- Μακροχρόνια ανθεκτικότητα: Οι θήκες πορσελάνης είναι εξαιρετικά ανθεκτικές και μπορούν να διαρκέσουν για πολλά χρόνια με την κατάλληλη φροντίδα.
- Ελάχιστα επεμβατική διαδικασία: Η διαδικασία τοποθέτησης των θηκών πορσελάνης απαιτεί ελάχιστη αφαίρεση οδοντικής ουσίας, προστατεύοντας τα φυσικά δόντια.
- Αντοχή σε λεκέδες: Η πορσελάνη δεν απορροφά λεκέδες, διατηρώντας ένα λευκό και λαμπερό χαμόγελο.
- Βελτίωση της στοματικής υγείας: Σε ορισμένες περιπτώσεις, οι θήκες πορσελάνης μπορούν να προστατεύσουν τα αδύναμα δόντια από περαιτέρω φθορά.


Ποια είναι η διαδικασία για να αποκτήσω ένα λαμπερό χαμόγελο με θήκες πορσελάνης;
Ένα λαμπερό χαμόγελο με θήκες πορσελάνης απαιτεί συνήθως δύο έως τρεις επισκέψεις στον έμπειρος οδοντίατρος με εξειδίκευση στις θήκες πορσελάνης:
- Πρώτη επίσκεψη: Κατά την πρώτη επίσκεψη, ο οδοντίατρος θα εξετάσει τα δόντια σας, θα συζητήσει τις προσδοκίες σας και θα καθορίσει εάν είστε κατάλληλος υποψήφιος για θήκες πορσελάνης. Θα ληφθούν φωτογραφίες και αποτυπώματα των δοντιών σας.
- Δεύτερη επίσκεψη: Σε αυτή την επίσκεψη, ο οδοντίατρος θα προετοιμάσει τα δόντια σας αφαιρώντας μια μικρή ποσότητα οδοντικής ουσίας. Θα ληφθούν νέα αποτυπώματα που θα σταλούν σε ένα οδοντοτεχνικό εργαστήριο για την κατασκευή των θηκών πορσελάνης. Θα τοποθετηθούν προσωρινές θήκες για την προστασία των δοντιών σας.
- Τρίτη επίσκεψη: Όταν οι μόνιμες θήκες πορσελάνης είναι έτοιμες, ο οδοντίατρος θα τις τοποθετήσει στα δόντια σας με ειδική οδοντιατρική κόλλα. Θα γίνουν οι απαραίτητες προσαρμογές για να διασφαλιστεί η σωστή εφαρμογή και η φυσική εμφάνιση.

Πώς μπορώ να διατηρήσω το λαμπερό χαμόγελο μου μετά την τοποθέτηση των θηκών πορσελάνης;
Για να διατηρηθεί το λαμπερό χαμόγελο μετά την τοποθέτηση των θηκών πορσελάνης απαιτείται η τήρηση ορισμένων οδηγιών:
- Σωστή στοματική υγιεινή: Βουρτσίζετε τα δόντια σας δύο φορές την ημέρα με μια μαλακή οδοντόβουρτσα και χρησιμοποιείτε οδοντικό νήμα καθημερινά.
- Αποφυγή σκληρών τροφών: Αποφύγετε να δαγκώνετε σκληρές τροφές ή αντικείμενα που μπορεί να προκαλέσουν ρωγμές ή σπασίματα στις θήκες.
- Προστασία από βρουξισμό: Εάν τρίζετε τα δόντια σας κατά τη διάρκεια του ύπνου, χρησιμοποιήστε προστατευτικό νάρθηκα για να αποφύγετε τη φθορά των θηκών.
- Περιορίστε την κατανάλωση τροφών και ποτών που προκαλούν λεκέδες: Η υπερβολική κατανάλωση καφέ, τσαγιού, κόκκινου κρασιού και άλλων τροφών και ποτών με χρωστικές μπορεί να επηρεάσει τη λάμψη των θηκών πορσελάνης.
- Τακτικοί οδοντιατρικοί έλεγχοι: Επισκεφθείτε τον οδοντίατρό σας για τακτικούς ελέγχους και καθαρισμούς. Ο οδοντίατρος μπορεί να ελέγξει την κατάσταση των θηκών και να εντοπίσει τυχόν προβλήματα σε πρώιμο στάδιο.
- Αποφύγετε το κάπνισμα: Το κάπνισμα μπορεί να προκαλέσει δυσχρωμίες στις θήκες πορσελάνης και να μειώσει τη διάρκεια ζωής τους.

Με τις θήκες πορσελάνης, μπορείτε να αποκτήσετε το λαμπερό χαμόγελο που πάντα ονειρευόσασταν. Είναι μια επένδυση στην αυτοπεποίθησή σας και στην ποιότητα της ζωής σας.