Skip to main content

Η ανάγκη για οστική και ιστική ανάπλαση στην περιοχή των γνάθων είναι συχνά απαραίτητη για την επιτυχή τοποθέτηση εμφυτευμάτων και τη μονιμότητά τους. Το μόσχευμα οστού αποτελεί μια αξιόπιστη και αποτελεσματική λύση για την αντιμετώπιση της έλλειψης οστικής μάζας.

 

Τι είναι το μόσχευμα οστού και πότε είναι απαραίτητο;

Το μόσχευμα οστού είναι μια χειρουργική διαδικασία κατά την οποία οστό, είτε από τον ίδιο τον ασθενή (αυτομόσχευμα), είτε από δότη (αλλομόσχευμα), είτε συνθετικό (ξενομόσχευμα), τοποθετείται στην περιοχή όπου υπάρχει έλλειψη. Η ανάγκη για μόσχευμα οστού προκύπτει όταν:

  • Η ποσότητα οστού στην περιοχή του εμφυτεύματος δεν είναι επαρκής για τη σταθερή τοποθέτησή του.
  • Υπάρχει οστική ατροφία λόγω απώλειας δοντιών, περιοδοντικής νόσου ή τραυματισμού.
  • Απαιτείται αισθητική βελτίωση του οστικού περιγράμματος.

 

Ποιες είναι οι τεχνικές μοσχεύματος οστού;

Υπάρχουν διάφορες τεχνικές μοσχεύματος οστού, ανάλογα με την έκταση της έλλειψης και την περιοχή του εμφυτεύματος:

  • Οστικά Block: Χρήση μεγάλων τμημάτων οστού για την αναπλήρωση μεγάλων ελλειμμάτων.
  • Ανύψωση Ιγμορείου: Δημιουργία χώρου για οστικό μόσχευμα στην άνω γνάθο, κάτω από το ιγμόρειο άντρο.
  • Ζυγωματικά Εμφυτεύματα: Χρήση μακριών εμφυτευμάτων που στηρίζονται στο ζυγωματικό οστό, για περιπτώσεις σοβαρής ατροφίας της άνω γνάθου.
  • Εξατομικευμένα Εμφυτεύματα: Εμφυτεύματα που κατασκευάζονται με βάση την τρισδιάστατη απεικόνιση της γνάθου του ασθενούς, για βέλτιστη εφαρμογή.
  • Μετατόπιση Κάτω Φατνιακού Νεύρου: Αλλαγή της θέσης του νεύρου για να δημιουργηθεί χώρος για τοποθέτηση εμφυτευμάτων στην κάτω γνάθο.
  • Διατατική Οστεογένεση: Σταδιακή διάταση του οστού για τη δημιουργία νέου οστικού ιστού.
  • Κατευθυνόμενη Ιστική Αναγέννηση: Χρήση μεμβρανών για να κατευθύνουν την ανάπτυξη οστού στην επιθυμητή περιοχή.

 

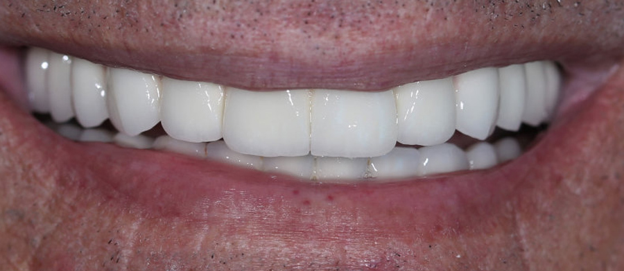
Μόσχευμα Οστού 1 Πριν

Μόσχευμα Οστού 1 Μετά

 

Ποια είναι τα πλεονεκτήματα του μοσχεύματος οστού;

  • Επαναφορά της λειτουργικότητας: Το μόσχευμα οστού επιτρέπει την τοποθέτηση εμφυτευμάτων, αποκαθιστώντας τη μασητική λειτουργία και την αισθητική του στόματος.
  • Μακροχρόνια σταθερότητα: Η δημιουργία επαρκούς οστικής μάζας εξασφαλίζει τη μακροχρόνια σταθερότητα των εμφυτευμάτων.
  • Βελτίωση της αισθητικής: Το μόσχευμα οστού συμβάλλει στη δημιουργία φυσικού και αισθητικά αποδεκτού οστικού περιγράμματος.
  • Αύξηση της αυτοπεποίθησης: Μέσω της επίλυσης προβλημάτων μάσησης, και αισθητικής.

 

Ποιες είναι οι πιθανές επιπλοκές του μοσχεύματος οστού;

Παρόλο που το μόσχευμα οστού είναι μια ασφαλής και αξιόπιστη τεχνική, όπως κάθε χειρουργική επέμβαση, εγκυμονεί κάποιους κινδύνους. Όπως φλεγμονή, αιμορραγία, μετεγχειρητικό οίδημα. Σπάνια, υπάρχει πιθανότητα μόλυνσης του μοσχεύματος, ή απόρριψης του. Επίσης σπάνια, βλάβη σε παρακείμενα νεύρα και αγγεία.

 

Πώς γίνεται η μετεγχειρητική φροντίδα;

Η μετεγχειρητική φροντίδα είναι σημαντική για την επιτυχή επούλωση του μοσχεύματος οστού. Περιλαμβάνει:

  • Λήψη φαρμακευτικής αγωγής, όπως αντιβιοτικά και αναλγητικά.
  • Χρήση στοματικών διαλυμάτων.
  • Τοποθέτηση πάγου στην εξωτερική περιοχή του προσώπου.
  • Αποφυγή σκληρών τροφών.
  • Σχολαστική στοματική υγιεινή.
  • Τακτικές επανεξετάσεις από τον Γναθοχειρουργό.

 

Πόσο διαρκεί η επούλωση μετά από μόσχευμα οστού;

Ο χρόνος επούλωσης μετά από μόσχευμα οστού εξαρτάται από την έκταση της επέμβασης και την ατομική ικανότητα επούλωσης του ασθενούς. Συνήθως, απαιτούνται 3-6 μήνες για την πλήρη ενσωμάτωση του μοσχεύματος.

 

Μόσχευμα Οστού 2 Πριν

Μόσχευμα Οστού 2 Μετά

 

Ποιο είναι το κόστος του μοσχεύματος οστού;

Το κόστος του μοσχεύματος οστού ποικίλλει ανάλογα με την έκταση της επέμβασης, το είδος του μοσχεύματος και την περιοχή του εμφυτεύματος. Η συζήτηση με τον Γναθοχειρουργό είναι απαραίτητη για την εκτίμηση του ακριβούς κόστους.

 

Είναι το μόσχευμα οστού μια επώδυνη διαδικασία;

Η επέμβαση του μοσχεύματος οστού πραγματοποιείται με τοπική αναισθησία, επομένως ο ασθενής δεν αισθάνεται πόνο κατά τη διάρκεια της. Μετά την επέμβαση, μπορεί να υπάρχει κάποιος πόνος και οίδημα, τα οποία αντιμετωπίζονται με φαρμακευτική αγωγή.

 

Μόσχευμα Οστού 3

 

Ποια είναι τα είδη μοσχευμάτων οστού;

Υπάρχουν διάφορα είδη μοσχευμάτων οστού, τα οποία διαφέρουν ως προς την προέλευσή τους:

  • Αυτογενές μόσχευμα : Οστό που λαμβάνεται από τον ίδιο τον ασθενή.
  • Αλλογενές μόσχευμα : Οστό που λαμβάνεται από δότη.
  • Ξενομόσχευμα : Οστό που λαμβάνεται από ζώο (συνήθως βοοειδές).
  • Συνθετικό μόσχευμα: Συνθετικά υλικά που μιμούνται την δομή και τις ιδιότητες του οστού.

 

Ποια είναι η καλύτερη επιλογή μοσχεύματος οστού;

Η καλύτερη επιλογή μοσχεύματος οστού εξαρτάται από τις ατομικές ανάγκες του ασθενούς και την εκτίμηση του Γναθοχειρουργού. Το αυτομόσχευμα θεωρείται η καλύτερη επιλογή, καθώς έχει την υψηλότερη βιοσυμβατότητα και δεν εγκυμονεί κινδύνους απόρριψης. Ωστόσο, δεν είναι πάντα εφικτό ή επιθυμητό.

 

Μόσχευμα Οστού 4

 

Συμπερασματικά, το μόσχευμα οστού είναι μια ασφαλής και αποτελεσματική τεχνική για την αντιμετώπιση της έλλειψης οστικής μάζας στην περιοχή των εμφυτευμάτων. Η επιλογή της κατάλληλης τεχνικής, η σωστή μετεγχειρητική φροντίδα και η τακτική παρακολούθηση από έμπειρο και εξειδικευμένο Γναθοχειρουργό, όπως ο Dr. Κωνσταντίνος Ψωμαδέρης, εξασφαλίζουν την επιτυχή έκβαση της επέμβασης και την αποκατάσταση της στοματικής υγείας και αισθητικής.

 

Close Menu
ΚΑΛΕΣΤΕ ΜΑΣ
ΡΩΤΗΣΤΕ ΜΑΣ